General Dentistry
From family care to oral hygiene, restorations to root canals, we offer comprehensive dental services for everyone’s unique needs.

About our services
We offer a comfortable, friendly environment and a full spectrum of dental services suitable for all ages. Whether it’s your child’s first dental visit, routine dental check-ups, or geriatric dental care, we’re equipped to look after the dental health of your whole family, providing treatment plans tailored to everyone’s unique needs.
Comprehensive Oral Hygiene
Beautiful smiles begin with good oral hygiene! Our team offers comprehensive oral hygiene services to maintain your teeth’s health and prevent oral diseases. Regular check-ups and cleanings, early detection of decay or gum inflammation, patient education, and preventative measures are cornerstones of this service. Let us be your partner in keeping your mouth clean, fresh, and healthful.
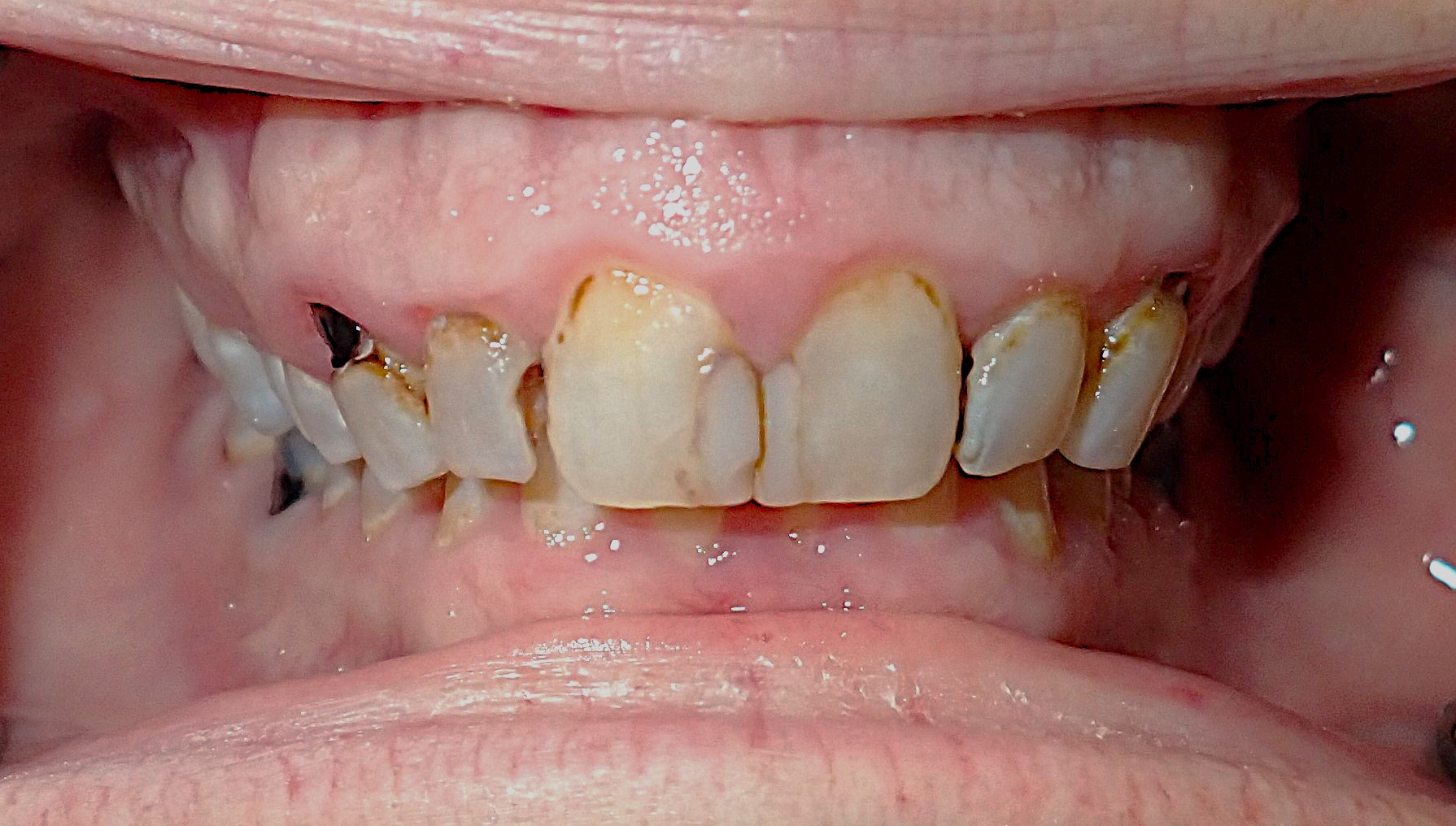
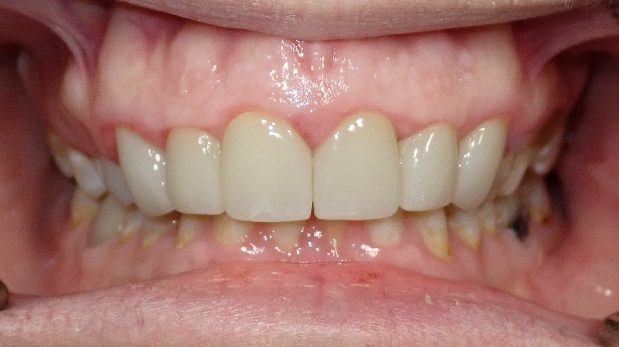
Composite Restorations
Got a cavity? Fear not, because our composite restorations are here to the rescue. Also known as “tooth-colored fillings”, these restorations are natural-looking and highly effective at restoring the strength and appearance of teeth affected by decay, cracks, or fractures. Choose a restorative solution that combines function, durability, and cosmetically pleasing results.
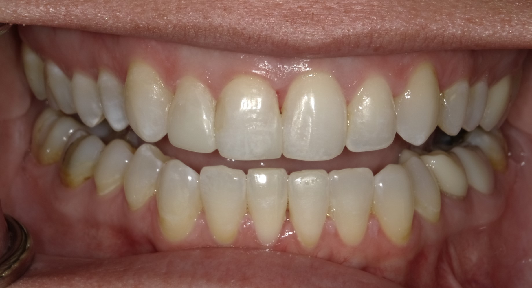
Crown and Bridge
Missing or broken teeth can be a thing of the past with our Crown and Bridge service. We are ready to restore the shape and function of your teeth, so you can chew, smile and speak as confidently and normally as before. Our team specializes in high-quality, comfortable and aesthetically pleasing crowns and bridges, custom-made for a naturally perfect fit.
Extractions
While preserving your natural teeth is always our top priority, there might be times when a tooth needs to be extracted. Our team performs safe and comfortable extractions with patient care as a priority. From wisdom tooth removals to complex surgical extractions, your comfort and health are our top concerns.
Root Canals
Experience painless, efficient root canal treatments at our practice. A root canal might seem daunting, but our expert team is skilled in making the procedure as comfortable as possible. We’ll save your natural tooth while relieving you from the discomfort associated with decay or infection.
Providing a full range of general dentistry services, our dental practice strives to keep your smile beautiful and healthy, while ensuring comfortable and compassionate care for every member of your family.
Frequently Asked Questions
How often should I visit the dentist for a checkup?
We recommend visiting the dentist every 6 months for a routine cleaning and exam. Regular visits help catch potential issues early and keep your smile healthy.
What should I expect during my first visit to Smile Innovations?
Your first visit includes a comprehensive exam, digital X-rays, a professional cleaning, and a one-on-one consultation with Dr. Gioiello to discuss your treatment plan and goals.
Do you accept dental insurance?
Yes, we accept most major dental insurance plans. Our patient care coordinators will help verify your benefits and maximize your coverage. Contact us at (937) 879-1321 for details.
What is a dental crown and when do I need one?
A dental crown is a custom-made cap that covers a damaged or weakened tooth. You may need one after a root canal, for a cracked tooth, or to restore a tooth with significant decay.
Are root canals painful?
Modern root canal treatment is virtually painless. At Smile Innovations, we use advanced techniques and local anesthesia to ensure your comfort throughout the procedure.
General Dentistry Near You
Smile Innovations proudly serves patients across the greater Dayton, Ohio area. Find general dentistry services near your community.
More Services
Browse ServicesGeneral Dentistry
Quality dental care, from routine checks to restorative treatment
Learn MoreCosmetic Dentistry
Crafting beautiful smiles with top-tier cosmetic solutions.
Learn MoreSpecialty Services
At our dental office, we offer an array of speciality services from beautifying treatments to innovative solutions.
Learn More